
NEVŞEHİR(TRENDHABER)- Nevşehir’de satacakları 101 kapsül halinde 722 gram Metamfetamin maddesi uyuşturucu yutma yöntemi ile midelerinde stoklayan 2 torbacı, Nevşehir Emniyet Müdürlüğü Narkotik Suçlarla Mücadele Şube Müdürlüğü ekiplerince yakalandı.İşlemlerin ardından S.B. ve O.R. çıkarıldıkları mahkemece tutuklandı.
Nevşehir’de Uyuşturucu ve Uyarıcı Madde Ticareti Yapmak ve Kullanmak suretiyle geleceğimizin teminatı olan gençleri zehirlemeye çalışan ve “torbacı” olarak tabir edilen “sokak satıcıları” ile etkin mücadele edilmesi amacıyla Nevşehir Cumhuriyet Başsavcılığı koordinesinde İl Emniyet Müdürlüğü Narkotik Suçlarla Mücadele Şube Müdürlüğünce yürütülen çalışmalar kapsamında S. B. ve O. R. isimli şahısların “Yutma Yöntemi” ile uyuşturucu sevk edileceği bilgisi alındı.
Adli makamlardan alınan arama kararına istinaden S.B. ve O.R.’nin konut aramasında ve şahısların kullandığı araçlarda arama yapıldı.
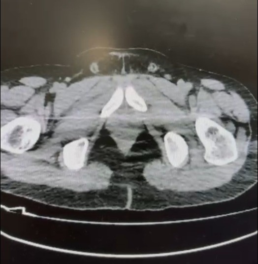
Sözkonusu torbacıların uyuşturucu maddeyi yutma yönteminde çeşitli materyaller kullanarak uyuşturucu maddeyi yuttukları, Nevşehir Devlet Hastanesinde yapılan kontrollerdeki röntgen çekiminde de net bir şekilde görüldü.
Yapılan aramalarda da 101 kapsül halinde 722 Gr. Metamfetamin Maddesi, 1 adet Hassas Terazi, Uyuşturucu Madde sevkiyatında yutma yönteminde kullanılan muhtelif materyaller ile Uyuşturucu Madde Ticaretinden Elde Edilen 20.210 TL, 1.320 Euro ve 10 ABD Doları paraya el konuldu. Torbacılar S. B. ve O. R. isimli şahıslar TCK 188-Uyuşturucu Madde Ticareti Yapmak suçundan Nevşehir Cumhuriyet Başsavcılığına sevk edilmek üzere gözaltına alındılar.
İşlemlerin ardından S.B. ve O.R. çıkarıldıkları mahkeme tarafından tutuklanarak Nevşehir E Tipi Kapalı Ceza İnfaz Kurumu’na gönderildi.

Veri politikasındaki amaçlarla sınırlı ve mevzuata uygun şekilde çerez konumlandırmaktayız. Detaylar için veri politikamızı inceleyebilirsiniz.
Selam nasılsınız